Cabinet dentaire du Dr M.ALAOUI
Chirurgien-Dentiste à VAUX LE PENIL
2, avenue des Frênes, 77000 VAUX LE PENIL
+33 1 64 52 27 24

Blog - Page 6

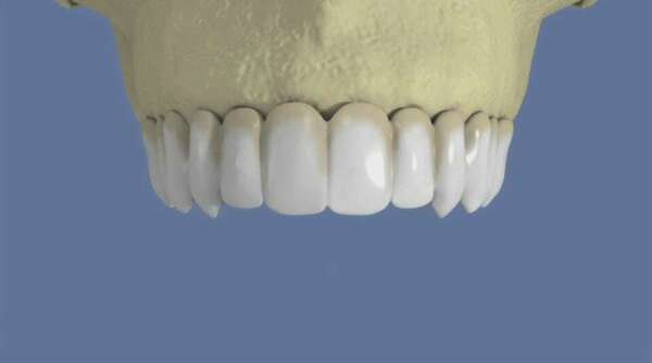
Maxillaire : bridge vissé sans fausse gencive

Maxillaire : bridge vissé sans fausse gencive

Le traitement non chirurgical de la parodontite

Le traitement non chirurgical de la parodontite

Maxillaire : bridge complet scellé sans fausse gencive

Maxillaire : bridge complet scellé sans fausse gencive

Agénésie des incisives : la solution des implants dentaires

Agénésie des incisives : la solution des implants dentaires

Le laser dans le traitement de la parodontite

Le laser dans le traitement de la parodontite

Le traitement chirurgical de la parodontite

Le traitement chirurgical de la parodontite

Bloc osseux ramique

Bloc osseux ramique

Pose d'un implant simple

Pose d'un implant simple

La technique de la greffe de gencive

La technique de la greffe de gencive

Bridge transvissé 4 dents

Bridge transvissé 4 dents

Le comblement de sinus par abord crestal

Le comblement de sinus par abord crestal

Comblement osseux après une extraction dentaire

Comblement osseux après une extraction dentaire

Affichage des articles 61-72 sur 206